티스토리 뷰


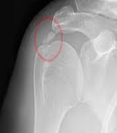
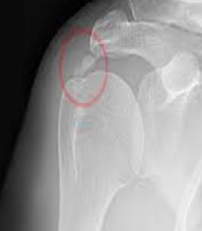
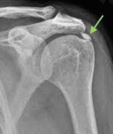
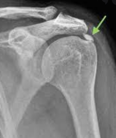
혹시 갑자기 어깨에 칼로 찌르는 듯한 통증을 느껴본 적 있으신가요? 밤에 잠을 설치게 할 정도로 심한 통증 때문에 고생하고 계시다면, 석회성 힘줄염을 의심해볼 필요가 있어요. 저도 처음엔 단순한 어깨 결림인 줄 알았는데, 통증이 너무 심해서 병원을 찾았다가 이 진단을 받고 깜짝 놀랐거든요. 다행히 적절한 치료를 통해 지금은 많이 좋아졌답니다 😊. 그래서 오늘은 저처럼 갑작스러운 어깨 통증으로 힘들어하시는 분들을 위해 석회성 힘줄염의 모든 것을 알려드리려고 합니다. 원인부터 증상, 그리고 다양한 치료 방법까지 함께 알아볼까요?

석회성 힘줄염, 도대체 왜 생기는 걸까요? 🤔
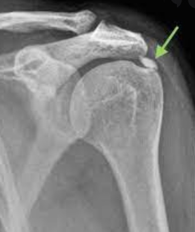
석회성 힘줄염은 말 그대로 어깨 힘줄에 석회(칼슘)가 침착되어 염증을 일으키는 질환이에요. 아직까지 정확한 원인은 밝혀지지 않았지만, 주로 힘줄의 퇴행성 변화나 미세한 손상, 혈류 감소 등이 원인으로 지목되고 있습니다. 30~50대 연령층에서 비교적 흔하게 나타나는데, 특히 어깨를 많이 사용하는 직업이나 반복적인 운동을 하는 분들에게 더 잘 생긴다고 해요. 꼭 나이가 많아야 생기는 건 아니라는 거죠.
- 퇴행성 변화: 나이가 들면서 힘줄이 약해지고 미세 손상이 반복되면서 발생할 수 있어요.
- 혈액순환 장애: 힘줄 부위의 혈액순환이 원활하지 않아 석회가 쌓일 가능성이 높아집니다.
- 반복적인 사용: 특정 동작을 반복적으로 하는 것도 힘줄에 부담을 줘서 원인이 될 수 있습니다.

석회성 힘줄염은 통증이 자연스럽게 사라지는 경우도 있지만, 방치하면 만성 통증으로 이어지거나 어깨 힘줄 파열로 진행될 수 있으니 꼭 전문가의 진료를 받아보는 게 중요해요.
이런 증상이 있다면 의심해봐야 해요! 🚨
석회성 힘줄염의 가장 특징적인 증상은 뭐니 뭐니 해도 극심한 통증이에요. 특히 통증이 갑자기 시작되는 경우가 많고, 통증 때문에 팔을 움직이는 것이 힘들어집니다. 통증의 시기와 강도에 따라 보통 3단계로 나누어 설명하곤 해요.
- 형성기: 석회가 쌓이는 시기입니다. 대부분 특별한 통증이 없어 스스로 인지하기 어려워요.
- 흡수기 (급성기): 석회가 녹아 흡수되는 과정에서 가장 극심한 통증이 나타납니다. '밤잠을 설치는 통증'이라고 불릴 정도로 매우 아파요.
- 재형성기: 석회가 거의 사라지고 힘줄이 회복되는 시기입니다. 통증이 점차 완화되면서 정상적인 생활이 가능해져요.
이 중 급성기 통증은 정말 경험해보지 않으면 모를 정도예요. 저도 밤에 통증 때문에 여러 번 깨고, 팔을 조금만 움직여도 찌릿해서 정말 힘들었거든요. 통증이 이렇게 심하다면 빨리 병원을 찾아 진단을 받는 게 좋습니다.


다양한 치료 방법, 내게 맞는 건? 🩺
석회성 힘줄염은 다행히 비수술적 치료로도 충분히 좋은 결과를 얻을 수 있는 경우가 많아요. 치료는 크게 보존적 치료와 비수술적 시술로 나눌 수 있습니다.
| 치료 방법 | 내용 |
|---|---|
| 보존적 치료 | 진통소염제 복용, 물리치료, 휴식 등. 통증 완화에 초점을 맞춥니다. |
| 체외충격파 (ESWT) | 석회 부위에 강력한 충격파를 쏘아 석회를 부수고 흡수를 돕는 치료법. 가장 널리 사용됩니다. |
| 석회 제거술 (주사) | 국소마취 후 주삿바늘을 이용해 석회를 직접 빼내는 시술. 크기가 큰 석회에 효과적입니다. |
| 수술적 치료 | 비수술적 치료에 효과가 없거나 석회 크기가 너무 클 경우, 관절내시경으로 석회를 제거합니다. |
저 같은 경우는 체외충격파 치료와 물리치료를 병행했는데, 정말 효과가 좋았어요. 꾸준히 치료받으니까 통증이 확실히 줄어들더라고요. 담당 의사 선생님과 충분히 상의해서 본인의 증상과 석회 크기에 맞는 치료법을 찾는 것이 가장 중요합니다!
💡 알아두면 좋은 생활습관 📝
석회성 힘줄염을 예방하고 재발을 막기 위해 평소에 노력할 수 있는 것들이 있어요.
- 적절한 스트레칭: 어깨 주변 근육을 풀어주는 스트레칭을 꾸준히 해주세요.
- 무리한 동작 피하기: 어깨에 과도한 부하를 주는 반복적인 동작은 피하는 것이 좋습니다.
- 온찜질: 만성 통증이 있을 때 온찜질은 혈액순환을 도와 통증 완화에 도움이 됩니다. (단, 급성기에는 냉찜질이 더 효과적일 수 있어요!)


글의 핵심 요약 📝
오늘은 석회성 힘줄염에 대해 깊이 파고들어 보았는데요. 핵심만 다시 한번 정리해드릴게요!
- 석회성 힘줄염은 왜 생기나요?: 힘줄의 퇴행성 변화, 미세 손상 등으로 인해 어깨 힘줄에 석회가 쌓이면서 생기는 질환이에요.
- 가장 큰 특징은?: 갑자기 시작되는 칼로 찌르는 듯한 극심한 어깨 통증이 특징이에요.
- 어떻게 치료하나요?: 대부분 체외충격파, 석회 제거술 등 비수술적 치료로 호전될 수 있습니다.

자주 묻는 질문 ❓
석회성 힘줄염은 너무 놀라지 않아도 되는 질환이에요. 제때 적절한 치료만 받으면 충분히 좋아질 수 있답니다. 어깨 통증으로 고민하고 계시다면 더 이상 참지 마시고 병원을 찾아 정확한 진단을 받아보세요! 혹시 더 궁금한 점이 있다면 댓글로 물어봐주세요~ 😊
'건강정보방' 카테고리의 다른 글
| 거북목, 일상에서 쉽게! 목 어깨 뭉침 푸는 5분 스트레칭 총정리 (7) | 2025.08.16 |
|---|---|
| 허리통증, 매일 5분 투자로 허리 건강 되찾기: 통증 완화 스트레칭 총정리 (6) | 2025.08.16 |
| 요실금 수술의 모든 것: 원인부터 수술 방법, 회복 관리까지 완벽 정리! (12) | 2025.08.01 |
| 심한 생리통, 혹시 '자궁내막증' 아닐까요? 증상부터 관리법까지! (3) | 2025.08.01 |
| 암 발병률 3배 높이는 최악의 음식 3가지! 당신의 식탁은 안전한가요? (4) | 2025.06.23 |
- Total
- Today
- Yesterday
- 균형잡힌식단
- 통증관리
- 암예방
- 뇌졸중
- 체중관리
- 유산소운동
- 영양관리
- 물리치료
- 건강한식습관
- 정신건강
- 건강한생활
- 고혈압
- 스트레스관리
- 약물치료
- 흡연
- 운동
- 당뇨병관리
- 여성건강
- 건강정보
- 건강검진
- 예방접종
- 심혈관질환
- 건강관리
- 건강한생활습관
- 생활습관
- 건강생활습관
- 규칙적운동
- 생활습관개선
- 눈건강
- 식이섬유
| 일 | 월 | 화 | 수 | 목 | 금 | 토 |
|---|---|---|---|---|---|---|
| 1 | 2 | 3 | 4 | 5 | 6 | 7 |
| 8 | 9 | 10 | 11 | 12 | 13 | 14 |
| 15 | 16 | 17 | 18 | 19 | 20 | 21 |
| 22 | 23 | 24 | 25 | 26 | 27 | 28 |
| 29 | 30 | 31 |