티스토리 뷰
자궁암은 전 세계 여성들에게 영향을 미치는 주요 건강 문제 중 하나입니다. 여성 생식계에서 가장 흔한 암 유형 중 하나인 자궁암은 초기에 발견하면 치료 가능성이 높아집니다. 이 글에서는 자궁암의 증상, 위험 요소, 치료 옵션을 이해하고, 이를 통해 적시에 의료 조치를 취하여 예방할 수 있는 지식을 제공하려고 합니다.

1. 자궁암의 증상 및 조기 경고 신호 파악하기
가. 자궁암의 초기 증상 인식
자궁암은 초기에 특징적인 증상을 나타낼 수 있으며, 이를 조기에 인식하는 것이 매우 중요합니다. 가장 흔한 증상은 비정상적인 질 출혈로, 특히 폐경 후에 발생하는 출혈은 즉시 검사를 받아야 하는 신호일 수 있습니다. 또한, 골반 통증이나 성관계 시 통증, 그리고 평소와 다른 질 분비물의 변화도 자궁암을 나타낼 수 있는 경고 신호입니다. 이러한 증상들은 다른 질환에서도 발생할 수 있기 때문에, 정확한 진단을 위해 의료진의 상담이 필요합니다.
나. 조기 경고 신호에 주의하기
자궁암의 다른 조기 경고 신호로는 하복부 불편감, 빈번한 배뇨, 변비 또는 다른 소화기 증상 등이 있을 수 있습니다. 이러한 증상들은 자궁암 외에 다른 여러 질환을 나타낼 수도 있지만, 만약 새롭게 발생하거나 지속적이라면 검진을 받는 것이 좋습니다. 특히, 체중 감소나 피로감과 같은 전신적인 증상이 동반된다면 더욱 주의를 기울여야 합니다.
다. 정기적인 검진과 상담의 중요성
자궁암의 증상이 나타나지 않거나 미묘할 수 있기 때문에 정기적인 산부인과 검진은 매우 중요합니다. 특히, 가족력이 있거나 다른 위험 요소가 있는 여성들은 더 자주 검진을 받을 필요가 있습니다. 의료진은 개인의 건강 상태와 병력을 바탕으로 적절한 검사를 권장하고, 필요한 경우 추가적인 진단 절차를 진행할 수 있습니다. 조기 발견은 자궁암 치료의 성공률을 크게 높이므로, 의심되는 증상이 있을 때 즉시 전문가와 상담하는 것이 중요합니다.
자궁암의 초기 증상과 경고 신호를 이해하고, 이에 주의를 기울이며, 정기적인 검진을 받는 것은 자궁암의 조기 발견과 효과적인 치료에 매우 중요합니다. 조기에 적절한 치료를 받으면 예후가 훨씬 좋아질 수 있으므로, 건강에 이상을 느낀다면 주저하지 말고 전문가의 도움을 받아야 합니다.
2. 자궁암의 치료 옵션 탐색하기
가. 수술 (예: 자궁 적출술)
자궁암의 가장 일반적인 치료 방법 중 하나는 수술입니다. 자궁 적출술은 자궁암이 초기 단계일 때 효과적인 치료법이 될 수 있으며, 암세포가 자궁에 국한되어 있는 경우에 종종 사용됩니다. 이 수술은 자궁 전체 또는 일부를 제거함으로써 암을 제거하는 것을 목표로 합니다. 수술은 환자의 나이, 암의 단계, 그리고 전반적인 건강 상태에 따라 결정되며, 환자는 수술 후 회복 과정과 잠재적인 부작용에 대해 알고 있어야 합니다.
나. 방사선 치료
방사선 치료는 고에너지 방사선을 사용하여 암세포를 파괴하고 종양을 축소하는 치료법입니다. 이 방법은 수술 후 남아있을 수 있는 암세포를 제거하거나, 수술이 불가능한 경우 암의 진행을 늦추기 위해 사용될 수 있습니다. 방사선 치료는 외부에서 방사선을 조사하는 외부 방사선 치료와, 방사선을 방출하는 물질을 체내에 직접 삽입하는 내부 방사선 치료(브라키치료라고도 함)가 있습니다. 치료는 여러 주 동안 진행될 수 있으며, 피로감, 피부 자극, 기타 부작용이 발생할 수 있습니다.
다. 화학요법 및 호르몬 치료
화학요법은 암세포의 성장과 분열을 막는 약물을 사용하는 치료법입니다. 자궁암에서 화학요법은 주로 진행된 암이나 수술 및 방사선 치료 후 재발한 경우에 사용됩니다. 이 치료법은 전신적으로 작용하기 때문에 암세포뿐만 아니라 정상 세포에도 영향을 미칠 수 있으며, 탈모, 구역질, 피로감과 같은 부작용을 유발할 수 있습니다. 한편, 호르몬 치료는 호르몬에 민감한 자궁암의 성장을 늦추기 위해 사용될 수 있으며, 호르몬 수치를 조절하거나 차단하는 약물을 사용합니다.
각각의 치료법은 환자의 구체적인 상황과 의료 팀의 평가에 따라 결정되며, 때로는 여러 치료법을 병행하여 사용하기도 합니다. 환자는 치료 결정을 내리기 전에 의료진과 상세한 상담을 통해 각 옵션의 장단점, 기대할 수 있는 결과, 잠재적인 부작용 등에 대해 충분히 이해하고 고려해야 합니다.
3. 자궁암의 예방 및 위험 감소
가. 위험 요인 이해와 관리
자궁암 발생 위험을 줄이기 위해서는 먼저 위험 요인을 알고 이를 관리하는 것이 중요합니다. 나이가 들수록 자궁암 발생 위험이 증가하며, 비만은 호르몬 변화를 일으켜 위험을 높일 수 있습니다. 호르몬 대체 요법을 받은 여성, 특히 에스트로겐만을 사용하는 경우에도 위험이 증가할 수 있습니다. 가족력 또한 중요한 요인이므로, 가족 중에 자궁암 환자가 있는 경우 의료진에게 알리는 것이 좋습니다. 이러한 위험 요인을 정기적으로 검토하고, 필요한 경우 생활 방식을 조정하여 위험을 최소화할 수 있습니다.
나. 생활 방식의 변화와 정기적인 검진
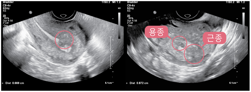
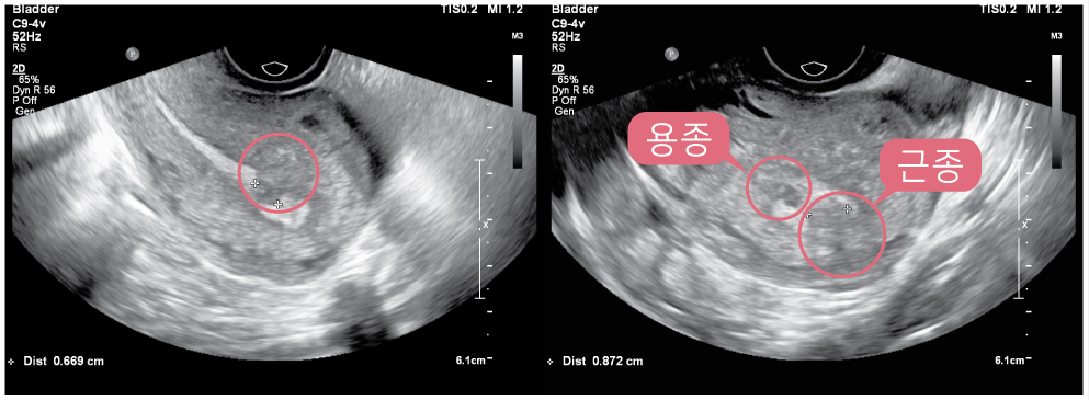
건강한 체중을 유지하고, 규칙적인 신체 활동을 하는 것은 자궁암뿐만 아니라 여러 가지 암의 위험을 줄일 수 있는 방법입니다. 또한, 고지방 식단을 피하고, 식물성 식품을 섭취하는 것이 좋습니다. 정기적인 산부인과 검진은 자궁암을 조기에 발견하는 데 매우 중요합니다. 특히, 자궁 내막증 변화를 조기에 감지할 수 있는 자궁내막 생검과 초음파 검사 등을 통해 건강을 관리할 수 있습니다.
다. 의료진과의 상담 및 위험 요인 논의
자신의 건강 상태와 가족력에 대해 정기적으로 의사와 상담하는 것이 중요합니다. 의료진은 개인의 위험 요인을 평가하고, 적절한 예방 조치를 조언할 수 있습니다. 또한, 호르몬 대체 요법이나 기타 치료를 고려할 때 가능한 위험을 충분히 이해하고, 의사와 상의하여 최선의 결정을 내릴 수 있도록 해야 합니다. 자궁암 예방을 위한 정기적인 검진과 건강 상담은 더 나은 건강 관리와 조기 발견을 위한 중요한 단계입니다.
자궁암 예방을 위해 위험 요인을 이해하고, 건강한 생활 방식을 유지하며, 정기적인 의료 상담과 검진을 받는 것은 중요합니다. 이러한 조치들은 자궁암의 위험을 감소시키고, 조기에 발견하여 치료받을 수 있는 기회를 높이는 데 도움이 됩니다.
결론
자궁암은 두려운 질병일 수 있지만, 특히 조기에 발견될 경우 효과적으로 치료할 수 있습니다. 증상 인식, 정기적인 의료 검진, 건강한 생활 방식은 이 질병과의 싸움에서 중요한 구성 요소입니다. 지식을 통한 권한 부여와 적극적인 건강 조치는 전 세계 여성들의 결과에 큰 차이를 만들 수 있습니다.
이 블로그 게시물은 자궁암에 대한 포괄적인 이해를 제공하며, 독자들이 위험을 인식하고 적절한 예방 및 대응 조치를 취할 수 있도록 설계되었습니다. 선택된 태그는 관련 토픽에 대한 가시성과 참여를 향상시키기 위해 사용됩니다.
- Total
- Today
- Yesterday
- 체중관리
- 생활습관개선
- 건강한생활습관
- 건강생활습관
- 여성건강
- 건강검진
- 건강한식습관
- 균형잡힌식단
- 규칙적운동
- 통증관리
- 심혈관질환
- 건강한생활
- 흡연
- 당뇨병관리
- 고혈압
- 눈건강
- 식이섬유
- 건강정보
- 뇌졸중
- 스트레스관리
- 물리치료
- 암예방
- 건강관리
- 유산소운동
- 생활습관
- 운동
- 약물치료
- 예방접종
- 영양관리
- 정신건강
| 일 | 월 | 화 | 수 | 목 | 금 | 토 |
|---|---|---|---|---|---|---|
| 1 | 2 | |||||
| 3 | 4 | 5 | 6 | 7 | 8 | 9 |
| 10 | 11 | 12 | 13 | 14 | 15 | 16 |
| 17 | 18 | 19 | 20 | 21 | 22 | 23 |
| 24 | 25 | 26 | 27 | 28 | 29 | 30 |
| 31 |