티스토리 뷰
1. 전이성 유방암의 이해: 기초부터 알아보기
전이성 유방암, 여러분이 혹시 이 용어를 들어본 적 있으신가요? 유방암은 암세포가 유방 조직에서 발생하는 것인데, 이 암세피가 다른 부위로 퍼져나간 상태를 '전이성 유방암'이라고 해요. 이는 유방암 중에서도 특히 치료가 까다롭고, 환자와 가족에게 큰 고통을 주는 병입니다.
전이성 유방암에 대한 이해를 돕기 위해, 우선 암의 전이 과정과 전이성 유방암이 되는 원인에 대해서 자세히 알아볼 필요가 있어요. 전이성 유방암의 발견과 진단, 그리고 이에 따른 적절한 대처 방법도 이해해야 할 중요한 부분이에요. 우리가 전이성 유방암에 대해 잘 알고 준비한다면, 두려움을 조금이나말 줄일 수 있을 거에요.


2. 전이성 유방암 진단: 정확한 진단을 위한 체계적 접근법
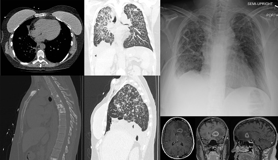
전이성 유방암 진단은 초기 유방암과는 다르게, 이미 암이 다른 장기로 퍼진 상태이기 때문에 더 철저하고 다양한 검사 방법이 필요해요. CT, MRI, PET-CT와 같은 첨단 영상 진단 기술을 이용하여 전이된 암의 위치와 크기, 그리고 암세포의 특성을 파악하는 것이 중요해요.
이러한 정보들은 치료 계획을 세우는 데 있어서 매우 중요한 기초 자료가 되죠. 정확한 진단은 최적의 치료 방법을 결정짓는 첫걸음이며, 환자의 생존율 향상에 결정적인 요소가 되는 만큼, 정밀한 진단 절차에 대해 이해하고, 적극적으로 참여하는 것이 매우 중요하답니다.


3. 최신 치료법의 발전: 전이성 유방암 환자에게 희망을 주다
전이성 유방암의 치료법은 날이 갈수록 발전하고 있어요. 화학요법, 호르몬 요법, 표적치료, 면역치료 등 다양한 치료 옵션이 개발되고 있으며, 이에 따라 환자들의 삶의 질과 생존율이 점점 향상되고 있어요. 개인의 암 특성에 맞춘 맞춤형 치료가 가능해져, 치료의 효과도 더욱 높아지고 있답니다.
신약 개발 또한 활발히 이루어지고 있어, 전통적인 치료법으로 효과를 보지 못한 환자들에게 새로운 가능성을 제시하고 있어요. 이처럼 최신 치료법의 발전은 전이성 유방암 환자들에게 더 밝은 미래를 열어주고 있답니다.


4. 생활 속에서의 관리 전략: 전이성 유방암과 함께 살아가기
전이성 유방암 환자의 삶은 치료 과정뿐만 아니라 일상생활에서의 관리도 매우 중요해요. 균형 잡힌 식단, 적절한 운동, 스트레스 관리는 기본이며, 정기적인 병원 방문과 약물 복용도 철저히 이행해야 해요. 또한, 가족과의 소통, 취미 활동 등 정서적으로 안정을 취할 수 있는 환경을 만드는 것도 건강한 삶을 영위하는 데 큰 도움이 되죠.
자신의 몸을 잘 관찰하고, 변화에 빠르게 대응하는 것도 필수적입니다. 생활 속에서의 관리 전략을 통해 전이성 유방암과 함께하는 삶을 더욱 윤택하게 만들 수 있어요.


5. 지지체계 확립: 전이성 유방암 환자와 가족을 위한 지원 네트워크
전이성 유방암 환자뿐만 아니라 가족들도 이 병과 함께 싸우고 있어요. 환자와 가족 모두에게 필요한 것은 견고한 지지 체계입니다. 의료진과의 긴밀한 소통, 지지 단체나 온라인 커뮤니티를 통한 정보 공유, 정서적 지원을 받을 수 있는 상담 서비스는 이러한 네트워크를 구축하는 데 큰 도움이 되죠.
이 모든 것이 환자와 가족이 전이성 유방암을 이겨내는 데 큰 힘이 됩니다. 건강한 육체뿐만 아니라, 건강한 정신 상태를 유지하는 것이 중요하여, 각자에게 맞는 지지체계를 확립하는 것이 이 병과 싸우는 데 있어 매우 중요한 요소가 되요.


결론
전이성 유방암은 분명 쉬운 싸움이 아니에요. 하지만 최신 치료법의 발전과 일상생활에서의 관리, 그리고 견고한 지지체계를 통해 이 병과 맞서 싸우는 것이 가능해졌어요. 여러분이나 여러분의 사랑하는 사람이 전이성 유방암 진단을 받았다면, 오늘 소개해 드린 내용들이 도움이 되길 바라며, 희망을 잃지 않고 치료에 임하는 데 작은 힘이 되었으면 합니다.

- Total
- Today
- Yesterday
- 건강한생활습관
- 예방접종
- 스트레스관리
- 영양관리
- 통증관리
- 건강정보
- 물리치료
- 건강관리
- 암예방
- 식이섬유
- 건강생활습관
- 여성건강
- 건강한식습관
- 눈건강
- 생활습관개선
- 균형잡힌식단
- 약물치료
- 생활습관
- 운동
- 뇌졸중
- 정신건강
- 건강한생활
- 유산소운동
- 고혈압
- 흡연
- 심혈관질환
- 규칙적운동
- 당뇨병관리
- 건강검진
- 체중관리
| 일 | 월 | 화 | 수 | 목 | 금 | 토 |
|---|---|---|---|---|---|---|
| 1 | ||||||
| 2 | 3 | 4 | 5 | 6 | 7 | 8 |
| 9 | 10 | 11 | 12 | 13 | 14 | 15 |
| 16 | 17 | 18 | 19 | 20 | 21 | 22 |
| 23 | 24 | 25 | 26 | 27 | 28 | 29 |
| 30 |